Ron Hines DVM PhD
Struvite-containing bladder and kidney stones are still the most common type of urinary tract stones (=calculi=uroliths) your dog is likely to develop. Although the second most common type, oxalate stones, seem to be catching up in frequency. (read here & here) Veterinarians do not know why.
All urinary tract stones are made up of minerals that were once dissolved but now have fallen out of the urine liquid (precipitated) – much like the stalactites and stalagmites that grow in caves. When the concentration of those minerals is high and the acidity/alkalinity of the urine is favorable, urinary tract stones are the likely consequences. In the case of the struvite type, those minerals are magnesium and phosphate. The amount of a third compound, ammonia (NH3), is a critical factor as well. Although I call this particular stone struvite, it has other names as well: (phosphate calculi, infection stones, urease stones, triple phosphate stones).
There is a second factor that is usually an underlying cause why your dog developed these stones. In about 90% of the cases, the pet has a chronic urinary tract infection. The most common bacteria that veterinarians isolate from these patients are staphylococcus, proteus and klebsiella. These same bacteria are normally found on your pet’s skin and within its digestive tract. There they generally cause no harm. They are also normally present in your female dog’s vagina. But they do not belong in your dog’s bladder, upper urinary tract or kidneys. (read here) All cells in your dog’s body liberate ammonia as one of the waste products generated by protein metabolism. But because free ammonia is toxic, cells quickly convert that ammonia into less toxic urea. Most of that change occurs in your dog’s liver. (read here) The urea then leaves your dog’s body in its urine. The particular bacteria I mentioned (and some others) (read here) often possess enzymes (ureases) that have the ability to turn urea back into ammonia. (read here)
When that occurs your pet’s urine becomes alkaline (=basic= pH⇾above 7). In that situation, the magnesium, and phosphate are likely to come out of solution and crystallize into a urinary tract struvite stone. A common location for that to occur is in your dog’s bladder, although stones occasionally form in the kidney drainage system as well.
It is thought that these bacteria encourage stones in another way too. They cause damage to the lining of your dog’s bladder that release cells and debris. Just as a grain of sand encourages an oyster to form a pearl around it, these debris particles are thought to give struvite minerals the ability to coalesce around them.
What I just presented to you is a simplified explanation. Read some of the links in this article if you want more detail or a more professorial vocabulary. The issue is probably more complex than even those scholarly explanations. (read here) Like many things in veterinary medicine, what actually causes one pet to develop a stone problem while another pet with what appears to be the same risk factors doesn’t develop them is unknown.
Does My Dog’s Sex Breed And Age Make A Difference?
Yes, it does.
Female dogs are considerably more likely to develop struvite stones than male dogs. Veterinarians believe that the shorter wider urethra of females makes them more prone to urinary tract infections. Perhaps the conformation of a female’s genitalia is also more conducive to persistent dampness.
Female dogs have more than double the chance of developing a urinary tract stone problem. It is also quite common for female dogs that were spayed too young to have improperly developed genitalia and obesity problems that lead to UTIs. (read here)
If My Dog Has Bladder or Urinary Tract Stones, What Signs Might I See?
The gritty, sandpaper -like surface of many struvite stone(s) irritate the pet’s bladder causing discomfort and urinary urgency. When the stone or stones are large, they occupy enough bladder space for the pet to feel the need to pee – even when only a few drips of urine are produced. Stones as large as the ones in my diagram above are less common than smaller, more numerous stones of varying sizes. But one, two or three large stone cases do occur. Considerably less frequently, struvite stones will form in your dog’s kidney itself. The prevalent ones that form in the kidneys of dogs are not commonly struvite ones. However, no mater what they are made of, occasionally, a small stone or stone fragment will lodge in one of your pet’s two ureters that lead from its kidneys to its bladder obstructing the flow of urine, causing severe pain and producing a medical emergency. Should a small stone residing in your pet’s bladder move and obstruct its urethra, it will also be a painful medical emergency. Back-pressure from a blocked urinary plumbing system can rapidly destroy the kidneys.
Besides frequent urination and straining that produces little urine, what urine that your pet produces when it has a stone issue is often pinkish due to the blood it contains – particularly the last few drops. It may also contain blood clots. Loss of house training is another common symptom.Some dog owners mistake the signs of urinary tract stones for a simple UTI or a bladder infection; others mistake it as a sign of constipation or anal sac problems.
Dogs with this problem rarely run fevers. But they often exhibit pain, consternation, yelp and lick their privates or their flank from time to time. A few scoot on their bottoms. Nevertheless, it is not that uncommon for other pets to show little in the way of discomfort or changes in their urinary habits. Veterinarians like myself find those cases when we routinely palpate your dog’s abdomen on every office visit. Unless your dog is tense or overweight, large or multiple smaller stones are easy for your veterinarian to feel through the dog’s abdominal wall. Hard, rounded lumps in the rear of the abdomen generally mean a very constipated pet or one with bladder stones. Occasionally, an x-ray taken for another purpose will discover bladder or kidney stones.
What Tests Will My Veterinarian Run To Confirm That My Dog Has Struvite Urinary Tract Stones?
Regardless of whether your veterinarian felt the stones or just suspects a urinary tract infection the vet will most likely want to microscopically examine your pet’s urine and check it for abnormal components with a chemical strip test as well. (ref) When a dog has a urinary tract issue, it is common for white and red blood cells, bacteria, and crystals to be visible in the urine when viewed under a microscope. Checking the acidity of the urine helps in determining which types of stones are most likely to have formed.
Bacterial Infection
Radiographs
X-rays of your pet’s abdomen and bladder are quite accurate in detecting bladder and kidney stones (they only miss ~2%). X-ray stone characteristics and history might suggest to your veterinarian what type of stone(s) are present; but only laboratory analysis of the stone ingredients can tell for sure.
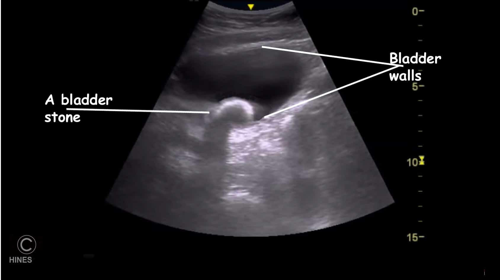
Ultrasound
An ultrasound examination often confirms a stone’s presence as well. (read here) Stones less than 3 mm in diameter can be very difficult to see. X-rays and ultrasound also tell your veterinarian the urgency of your pet’s situation. Bladder stones that have a diameter greater than that of your dog’s urethra are unlikely to enter the urethra and block the flow of urine. Those considerably smaller will likely pass out with the urine. But those that are approximately the same diameter as your dog’s urethra could block the flow of urine if they get stuck in the pet’s urethra on their way out – causing a medical emergency that could happen at any time. (read here) If your veterinarian suspects Cushing’s disease as a predisposing factor, test for that condition might be indicated as well.
What Treatments Are Available For My Dog?
Struvite urinary tract stones –associated with a urinary tract infections – are the easiest of all the stone compositions to deal with. Most can be dissolved with the use of proper antibiotics to kill the bacteria that are their root cause, combined with specially formulated diets that limit the amount of magnesium, and phosphorus that your dog consumes.
Antibiotics
Your veterinarian needs to choose an antibiotic with the best chances for eliminating the bacteria that are making your pet’s urine too alkaline. One that will allow your dog’s urine pH to no longer be above pH 7. That, combined with a low magnesium/low phosphorus diet should allow the stones to slowly dissolve. Bacteria can become resistant to an antibiotic during therapy. So, your veterinarian will probably suggest ongoing urine examinations (urinalysis) – perhaps every 2-3 weeks to be sure the process is proceeding smoothly. That might include another bacterial culture and sensitivity every 4 weeks or so and x-rays now and then to be sure the stones are dissolving. These antibiotics should be given for at least a month – better yet for one month after x-rays show no remaining stones.
Special Diets
There are now several brands of commercial canine diets that are designed to help dissolve your pet’s struvite-based urinary tract stones. Unfortunately they are not available to you at your neighborhood grocery store. Your vet is currently the only person who can sell them or OK an online order. That is not because any of these products could cause your pet harm. It is to keep the profits these products high for the companies that produce them – with the connivance of the FDA. These diets are not as successful in dissolving stones that are not composed of struvite. All brands rely on keeping magnesium and phosphorus levels low in their ingredients and in keeping protein levels moderate – generally by increasing the amount of fat. Keeping magnesium and phosphorus levels low is thought to lower the levels of those stone-forming ingredients in your dog’s urine. Keeping protein levels lower is thought to produce less urine urea for bacteria to break down into ammonia. That would help keep the pH of your dog’s urine lower – a positive thing when trying to dissolve struvite. There was a time that the salt content of these diets was increased in an attempt to stimulate thirst and more dilute urine volume. Some of my link articles mention that strategy. But more current research has shown that that theory was faulty. (read here)
I will discuss the Hill’s Prescription Diet s/d – primarily because it has been on the market the longest and is still probably the leader in sales. In one test, the Company reported that s/d was effective in dissolving struvite stones in most dogs in an average of 14.4 weeks. The range was 2-5 month. It seemed to dissolve the “sterile” form of struvite stones (the ones where no bacteria could be found) even faster. At one point, I believe the label had a warning that the high fat content of their diet might increase the risk of pancreatitis in dogs that periodically deal with that issue. (read here)
Once dogs have been on these diets for a few weeks, struvite crystals, the progenitors/prognosticators of struvite stones in the picture above, should no longer be seen in your pet’s urine samples. Enlarge the microscope image to see them better.
The formulation of these diets also encourages an acidic urine. Although it is conceivable that a few dogs might rid themselves of struvite stones on diets like s/d alone, antibiotics are the first of a one-two punch with diet being the second. I would advise against trying to solve this problem with diet alone unless repeated urine cultures yielded no bacteria (“sterile struvite stones”). Regarding the Hill’s formula: Hills also makes Science Diet® brand dog food as well for dogs with no urinary tract stone or medical issues. Science Diet has 24.9% protein, 16.4% fat and 51.3% carbohydrate. Its calcium level is 0.945. Its sodium (salt) level is 0.30%, its magnesium level is 0.130% Its most prevalent ingredient is chicken meal.
Their c/d Multicare® diet, designed to help dissolve struvite stones, has a lower protein content (21%). Its fat content is higher (17.3%). Its carbohydrate content is a bit more (54.3%). Its calcium content is much lower (0.64%). The Multicare diet is also low in phosphorus (0.53%) by virtue of having less meat in it and its magnesium level is reduced (0.099%). Those analyses were for their dry dog kibbles. Since consuming more water leads to a more dilute urine that is less likely to form stones, I suggest you either buy their canned product (which is much higher in water) or add as much water to their dry kibble as your dog will accept.
Surgery
Sometimes intervention is a better choice than attempting to dissolve the stones slowly. That might be due to a stone lodged in the pet’s ureter or urethra or one threatening to do so. It might be because the diet was failing to dissolve the stones. It might be because a dog refuses to eat the special diet, or it might be because bacteria are reappearing in your pet’s urine or never left. (In those persistent or recurring infection cases, it is important that the anatomy of your dog’s entire urinary tract system be carefully checked for developmental abnormalities that might be responsible for persistent infections. On rare occasions, an error or adhesion related to a prior spay surgery is the culprit.) Whenever possible, stones present in the urethra are mechanically encouraged to pass (“urohydropropulsion“) or manipulated back into the bladder. Cutting into the urethra or ureters is something veterinarians avoid whenever possible. Surgery to remove stones from the bladder (cystotomy) is considerably safer for your dog. I have always been quite happy with the success of standard surgeries to remove struvite and other stones from the bladder of my client’s dogs. However, there are much more sophisticated methods that are utilized by specialists at large veterinary institutions. If they are any more successful in removing bladder stones remains to be seen. These procedures, such as laser lithotripsy with YAG lasers, destroy and fracture obstructing stones into portions that are easily passed. In pets that are at a high surgical risk they might be a better option. Your local veterinarian will know when a surgical specialist, practicing at one of these centers, is your best option.
How Can I Keep These Stones From Returning?
Keep a watchful eye on your dog’s urinary habits to catch infections early. Bring fresh urine samples to your veterinarian periodically – the first void of the morning is often the best. You can learn to do these “dip stick” urine tests at home. But remember the results of paper strips can be quite inaccurate. Besides detecting infection, those strips tell you if your dog’s urine is too basic (too alkaline). Keep your dog very well hydrated, so its urine will not be concentrated enough for struvite stones to form. Feeding fresh or canned food rather than dog kibble is one of the best ways to do that. Distribute several water bowls around the house. Feed a diet designed to minimize magnesium and phosphorus levels and keep urine pH low (pH ~6.5); but do not continue feeding a stone-dissolving brand beyond your veterinarian or the manufacturer’s recommendations. Your dog should be free to urinate whenever it feels the need too. Dogs that are forced to retain their urine and wait for you to return home are at a higher risk of urinary tract issues. Periodic x-rays at intervals suggested by your veterinarian might be a wise decision as well. If your dog is overweight, put it on a diet. (read here) Urinary tract acidifiers are available. Their long-term effects on the pH of your pet’s urine are variable. DL-methionine is often used. Others suggest ammonium chloride
Buy A Refractometer
Purchase a refractometer, learn how to read this simple device and see that the specific gravity of your dog’s urine stays low. (read here) .
